menu
16 zdjęć rentgenowskich, które powiedzą o ludzkim ciele więcej niż książki do anatomii
16 zdjęć rentgenowskich, które powiedzą o ludzkim ciele więcej niż książki do anatomii
Ludzie ciało jest idealnym mechanizmem. Podczas gdy pracujesz, śpisz, czy uprawiasz sport, twój organizm i wszystkie jego narządy pracują bez ustanku. Wielu z tych procesów nie bylibyśmy w stanie zobaczyć bez wynalazku Wilhelma Röntgena. 120 lat temu, odkrył on promienie, które pozwalają nam dosłownie prześwietlać ludzi. Dziś, możemy dzięki nim dowiedzieć się wielu ciekawostek na temat naszego ciała.

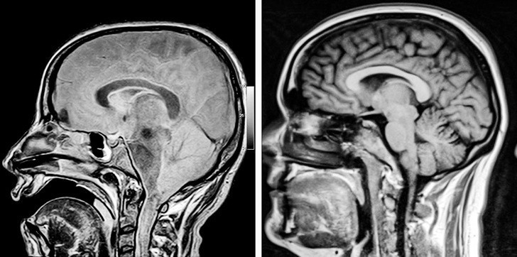
1. Mózg osoby w śpiączce w porównaniu do mózgu zdrowego człowieka

Mózg osoby w śpiączce w porównaniu do mózgu zdrowego człowieka

2. Zdjęcie panoramiczne szczęki. Pacjent zapomniał zdjąć okulary

Zdjęcie panoramiczne szczęki. Pacjent zapomniał zdjąć okulary
Reklama

3. Traktografia to specjalna metoda prześwietleń pokazująca połączenia nerwowe w różnych rejonach mózgu

4. To prześwietlenie pokazuje wszczepione sztuczne serce

To prześwietlenie pokazuje wszczepione sztuczne serce

5. Kobieta z dzieckiem na zdjęciu rentgenowskim

Kobieta z dzieckiem na zdjęciu rentgenowskim

6. Efekt nałożenia dużej ilości makijażu przed prześwietleniem - na zdjęciu widoczna jest rzęsa

Efekt nałożenia dużej ilości makijażu przed prześwietleniem - na zdjęciu widoczna jest rzęsa
Reklama

7. Prześwietlenie pacjenta, który przeszedł zabieg korekcyjny polegający na wszczepieniu złotych drutów

Prześwietlenie pacjenta, który przeszedł zabieg korekcyjny polegający na wszczepieniu złotych drutów

8. Prześwietlenie brzucha mężczyzny, którego przyłapano na transportowaniu nielegalnych substancji

Prześwietlenie brzucha mężczyzny, którego przyłapano na transportowaniu nielegalnych substancji
Reklama

9. Wnętrze kostki

Wnętrze kostki

10. Prześwietlenie pacjenta ważącego niespełna 200 kg

Prześwietlenie pacjenta ważącego niespełna 200 kg
Reklama

11. Efekt wieloletniego nadużywania alkoholu - rozmiar mózgu i móżdżka uległ zmniejszeniu

Efekt wieloletniego nadużywania alkoholu - rozmiar mózgu i móżdżka uległ zmniejszeniu

12. Dziecko obracające się w łonie

13. Naczynia krwionośne w palcu

Naczynia krwionośne w palcu

14. Aorta to największa arteria w naszym ciele

Aorta to największa arteria w naszym ciele
Reklama

15. Porównanie zębów 7-latka (na górze) i 30-latka

Porównanie zębów 7-latka (na górze) i 30-latka

16. 16-miesięczny chłopiec połknął breloczek ze Sponge-Bobem

16-miesięczny chłopiec połknął breloczek ze Sponge-Bobem


Źródło: brightside.me

TWOJA REAKCJA?

Rozmowy na Facebooku