menu
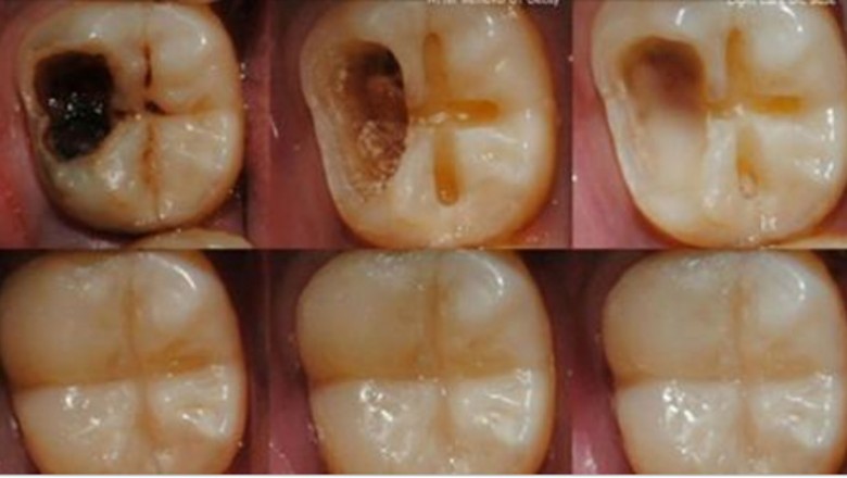
5 łatwych kroków, które pozwolą Ci uzdrowić Twoje zęby i zapomnieć o ubytkach! To łatwiejsze niż myślisz!
5 łatwych kroków, które pozwolą Ci uzdrowić Twoje zęby i zapomnieć o ubytkach! To łatwiejsze niż myślisz!
Aby móc cieszyć się zdrowymi i białymi zębami, musimy dbać nie tylko o higienę jamy ustnej, ale także odpowiednią dietę. Ubytki w powierzchni zębów mogą być powodowane różnymi czynnikami, na przykład niedoborem witaminy D i A, niedoboru minerałów w diecie, a także spożywaniu dużej ilości produktów przetworzonych i zawierających duże ilości cukru.



Jak leczyć ubytki w naturalny sposób?

1. Pozbądź się cukru z diety

1. Pozbądź się cukru z diety

Unikaj produktów zawierających duże ilości cukru. To niezwykle istotne dla zdrowia naszych zębów, bowiem bakterie obecne w jamie ustnej żywią się cukrem. W efekcie, struktura zęba staje się słaba, a szkliwo zniszczone.

2. Jedz produkty bogate w składniki odżywcze

2. Jedz produkty bogate w składniki odżywcze

Spożywanie minerałów i witamin może zapobiec ubytkom zębów, a nawet cofnąć wyrządzone szkody. Włącz do diety wszelkie zielone, liściaste warzywa, a także zdrowe tłuszcze, na przykład z orzechów, nasion, awokado i kokosów.

Reklama

3. Płukanie ust olejem kokosowym

3. Płukanie ust olejem kokosowym

Ta technika używana jest od wieków i służy jak sposób na oczyszczenie jamy ustnej z toksyn. Płucz usta łyżką stołową oleju kokosowego. Zacznij od 3-5 minutowych sesji, stopniowo przedłużając je do 20 minut. Ta metoda pomoże również przy zapaleniu dziąseł.

4. Ogranicz kwas fitynowy

4. Ogranicz kwas fitynowy

Produkty bogate w ten kwas to zboża, orzechy, fasola i nasiona. Kwas fitynowy może utrudnić organizmowi przyswajanie minerałów z pożywienia. Staraj się ograniczać jedzenie produktów zawierających wysokie stężenie tego kwasu.

5. Używaj mineralizującej pasty do zębów

5. Używaj mineralizującej pasty do zębów

Pasty pozbawione fluoru są zwykle bardzo drogie i wielu z nas nie może sobie na nie pozwolić. Na szczęście, możemy sporządzić taką pastę w domu.

Potrzebujesz:

1/4 łyżki stołowej wyciągu z mięty

1/4 łyżki chlorofilu o smaku miętowym

łyżkę wody filtrowanej

pół łyżki oleju kokosowego

1/4 łyżki sody oczyszczonej

3 łyżki ziemi okrzemkowej

Wiele osób myśli, że ubytki nie mogą zostać zaleczone naturalnie, ale ta pasta do zębów, a także pozostałe wskazówki, są w stanie tego dokonać.

Źródło: http://www.naturalhealthyteam.com

TWOJA REAKCJA?

Rozmowy na Facebooku